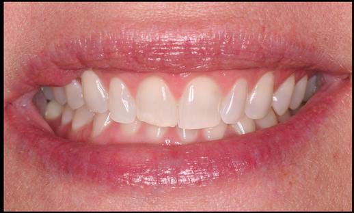
Periodontal (Gum) disease is an infectious disease and a significant cause of tooth loss in humans all over the world. It affects the gums and the supporting tissues of your teeth, such as, the jawbone and periodontal ligament. There is a growing body of scientific evidence suggesting that the infection of your gums and jawbone (periodontal disease) can negatively impact other parts of your body, such as, your heart, lungs, kidneys, joints, brain,... Recent research suggests a link between gum disease & cardiovascular disease, stroke, acute coronary syndrome, cerebrovascular disease, gastrointestinal disease, diabetes, arthritis, respiratory diseases (chronic obstructive pulmonary disease), osteoporosis, adverse pregnancy outcomes (preterm birth & low birth weight), cancer, Alzheimer’s disease, erectile dysfunction... Treating and, more importantly, preventing gum disease will reduce the risks of infections and associated systemic conditions. Healthy gums can lead to a healthier life. "Love the gums you are with"


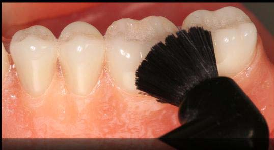
CLEAN THE CONTOURS OF EACH TOOTH WITH AN ELECTRIC TOOTH-BRUSH



THE BACK OF THE LAST TOOTH IS EASILY REACHED USING AN ELECTRIC TOOTH-BRUSH.
REACH TO CLEAN THE "IN BETWEEN" (INTERPROXIMAL) SPACES USING DENTAL FLOSS

USE PROXYBRUSHES TO CLEAN IN BETWEEN TEETH >>> USE A SIZE THAT FITS YOUR SPACE
PROXY-BRUSHES HELP REACH UNDER CONTACT SPACES BETWEEN TEETH & IMPLANTS & BRIDGES


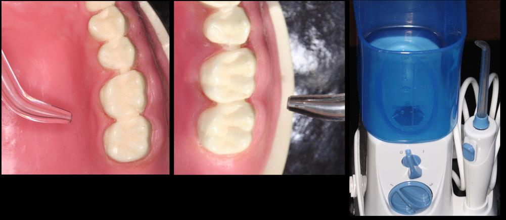
ORAL IRRIGATORS (Waterpik) AID in CLEANING BY REMOVING ACCUMULATED PLAQUE
UNDER THE GUM LINE, CONTACT SPACES & BETWEEN TEETH, IMPLANTS & BRIDGES.
USE IT after BRUSHING, FLOSSING & PROXYBRUSHES to complete your ORAL HYGIENE

THE TONGUE ACCUMULATES A SIGNIFICANT AMOUNT OF BACTERIA, YEAST & DEAD CELLS
A COATED TONGUE IS A RESERVOIR OF UNWANTED PATHOGENS THAT CAUSE GUM DISEASE
TONGUE BUILD-UP CAUSES BAD BREATH DUE TO DEAD CELLS, MICROBES & TOXINS
USE A TONGUE SCRAPER OR EDGE OF A SPOON TO WIPE OFF & CLEAN THE TOP SURFACE DAILY
REACH TO SCRAPE OFF THE BUIL-UP PLAQUE AS FAR BACK AS YOU CAN

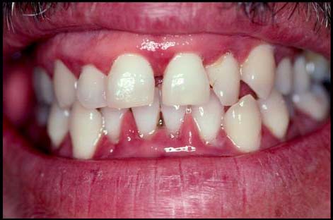
POOR ORAL HYGIENE CAN LEAD TO SEVERE GUM DISEASE, BONE & TOOTH LOSS
REGULAR PERIODONTAL MAINTENANCE & GOOD ORAL HYGIENE ARE KEY
TO HEALTHY LONG-LASTING IMPLANT OUTCOMES

COMBINE ELECTRIC BRUSHES, PROXYBRUSHES & ORAL IRRIGATORS
TO IMPROVE PLAQUE CONTROL & MAINTENANCE OF DENTAL IMPLANTS
Fernando Verdugo , DMD, PhD, All rights reserved