
Dr. Verdugo’s team provide a wide scope of procedures including dental implants to replace missing teeth, esthetic gum grafting and crown lengthening, bone grafting for jaw reconstruction, periodontal disease (gum disease) treatment, and disease prevention.
We sincerely care for your health and strive to provide solid long-term outcomes through professional informed decisions, risk analysis and prevention.
PERIODONTAL & PERI-IMPLANT DISEASE ---->DIAGNOSIS-PREVENTION-THERAPY
- PREVENTION & RISK ASSESSMENT
- ORAL CANCER SCREENING
- MICROBIOLOGICAL TESTING
- NON-SURGICAL & SURGICAL THERAPY
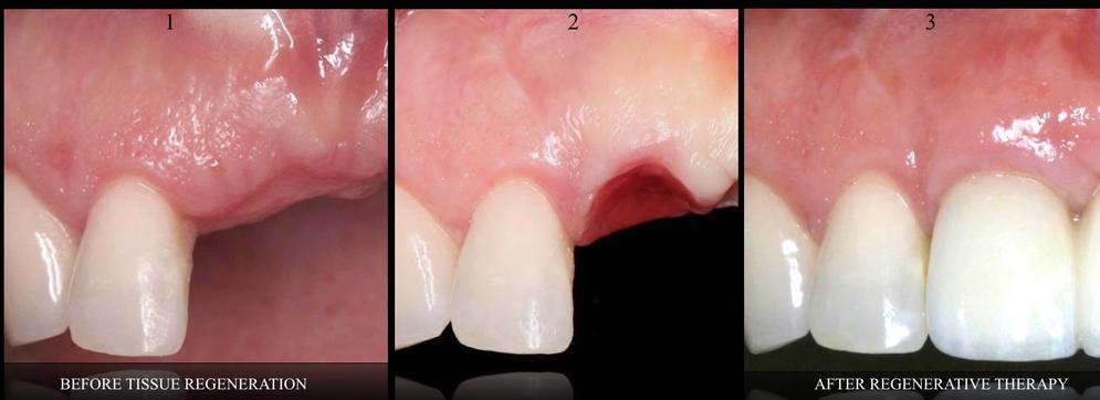
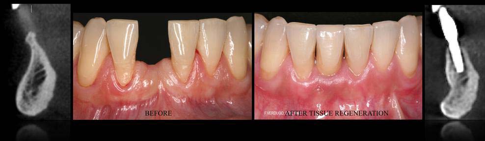
- GUIDED BONE & TISSUE REGENERATION
- MAINTENANCE ---> KEY TO LONG-LASTING RESULTS
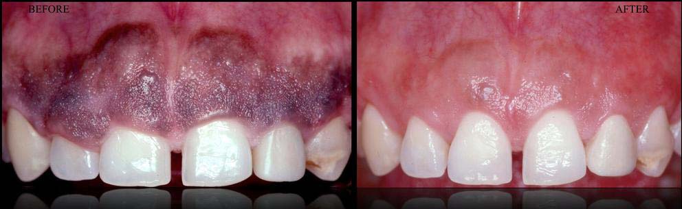
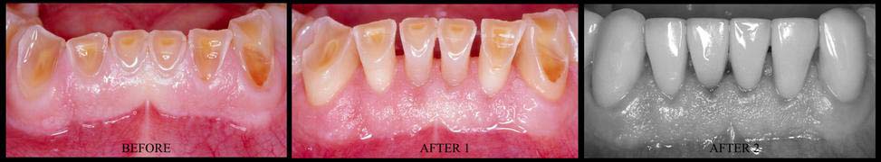
ESTHETIC & FUNCTIONAL PROCEDURES
- ESTHETIC CROWN LENGTHENING ---> GUMMY SMILE CORRECTION
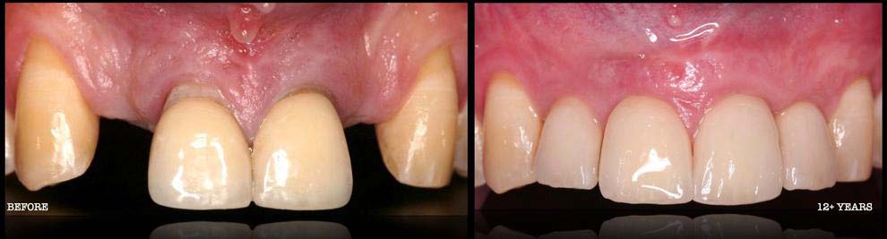
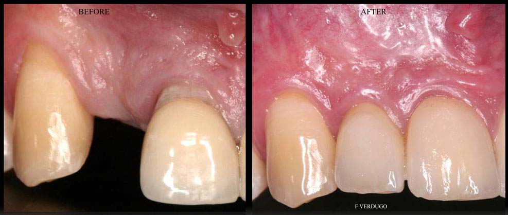
- GUM REGENERATION/GRAFTING FOR RECEDING TISSUES --> GINGIVAL RECESSION THERAPY
- COSMETIC PERIODONTAL PLASTIC SURGERY
- FRENUM CORRECTION ---> FRENECTOMY
- TORI REMOVAL ---> CORRECTION OF EXCESS OF BONE
- JAW RECONSTRUCTION ---> RIDGE AUGMENTATION
- MINIMALLY INVASIVE SINUS AUGMENTATION
- DENTAL IMPLANTS TO REPLACE MISSING TEETH
BAD BREATH (HALITOSIS) THERAPY



















Fernando Verdugo , DMD, PhD, All rights reserved